

L’importance de la première visite chez le dentiste de votre enfant c’est dès son premier anniversaire.
La première visite chez le dentiste est recommandée durant la première année de votre enfant. Elle se fera préférablement au cours des 6 premiers mois suivant l’apparition des premières dents en bouche mais ne dépassera pas l’âge de 12 mois. Cette première visite comprendra un examen sommaire et des conseils d’hygiène spécifiques pour prévenir la CPE, (carie précoce de l’enfant) une forme virulente de la carie dentaire capable d’endommager la dentition primaire des bébés et des jeunes enfants.

Il importe de vérifier avec les parents les points suivants :
• Contrôle et renforcement des enseignements et conseils donnés pendant la période de grossesse.
• L’allaitement à gogo ou ad libidum après l’âge de un an.
• Proscrire l’ajout de substances cariogènes dans le biberon pour endormir l’enfant.
• Favoriser une alimentation saine tout en restreignant la consommation d’aliments sucrés
• Commencer à nettoyer les dents de l’enfant dès l’apparition de la première dent.
• Encourager l’enfant à boire dans un verre lorsqu’il s’approche de son premier anniversaire puis abandonner progressivement le biberon entre 12 et 16 mois.
• Observer les habitudes prises par le bébé très tôt dans l’existence notamment en ce qui concerne la succion du pouce de façon à consulter précocement afin de corriger cette habitude si nécessaire par l’usage de la sucette.
• Appliquer le vernis fluoruré chez le dentiste durant cette première visite et chaque 6 mois pour réduire le risque de CPE.
La première visite sert aussi à discuter les facteurs de risque causant la carie de l’enfance :
- L’usage prolongé du biberon pendant la journée et au coucher, surtout quand celui-ci contient du lait ou du jus de fruits ;
- L’allaitement prolongé, surtout pendant la nuit, sans pouvoir nettoyer les dents de votre bébé juste après
- La consommation fréquente de collations cariogènes à base d’aliments et de boissons sucrés, comme les gâteaux, les biscuits, les jus de fruits ;
- Une mauvaise hygiène bucco-dentaire, causée par un nettoyage des dents insuffisant ou inadéquat ;
- Une consommation insuffisante de fluor, qui représente un atout de taille pour le maintien de la santé bucco-dentaire chez les jeunes patients.
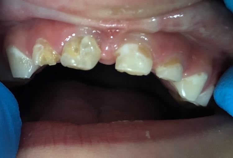
Répercussions de la carie de la petite enfance
La CPE (carie précoce de l’enfant) peut avoir de graves conséquences autant sur la santé bucco-dentaire de votre enfant que sur sa santé générale.
Effectivement, la CPE engendre des répercussions que seul un dentiste pédiatrique est à même de traiter afin de limiter l’étendue. Celles-ci sont :
- Des complications infectieuses comme la pulpite, la nécrose pulpaire lorsque la partie interne de la dent est atteinte par la carie. Ces affections avancées sont généralement très douloureuses, et peuvent causer une inflammation au niveau du visage de l’enfant.
- L’infection des germes des dents permanentes, accompagnée de lésions qui peuvent arrêter le développement des dents de remplacement ;
- Des troubles de l’alimentation et de la parole ;
- Des problèmes psychologiques et relationnels, dus aux répercussions esthétiques de la CPE ;
- Un retard de croissance et de développement du corps à cause de l’impossibilité de se nourrir et de dormir convenablement, dans les cas les plus extrêmes.
- À noter que les enfants qui ont des caries sévères, sont en général des enfants de mauvaise humeur qui souffrent de stress chronique, avec des courbes de concentration courte à l’école et des scores académiques faibles.
Traitement et prévention
La CPE peut avoir de graves répercussions lorsqu’elle est découverte trop tardivement, puisqu’elle nécessite alors des traitements plus complexes et plus couteux. Pour cette raison, il est nécessaire de prévenir cette maladie bucco-dentaire aux effets très graves, et ce, en visitant régulièrement le dentiste avec votre enfant. En tant que parent, c’est aussi votre responsabilité de veiller à ce qu’il ait une bonne hygiène bucco-dentaire au quotidien ainsi qu’une alimentation saine et équilibrée. On conseille aux parents de superviser le brossage de leurs enfants jusqu’à l’âge de dix ans !
Lorsque vous visitez régulièrement le dentiste, celui-ci est en mesure de déceler la CPE à un stade précoce dans le but de proposer à votre enfant des traitements qui viseront à limiter son étendue et à guérir les lésions carieuses.

Afin de vous permettre de limiter au minimum les chances que votre enfant a de souffrir des conséquences de la CPE, je vous offre mes meilleurs conseils préventifs :
- Limitez la consommation des boissons et d’aliments sucrés de votre enfant. S’il en consomme, assurez-vous de nettoyer ses dents convenablement après chaque collation et chaque repas ;
- Privilégiez les collations non sucrées et non collantes à base de légumes, de fruits, de fromages, etc. ;
- Veillez à ce que votre enfant ait une bonne hygiène bucco-dentaire, et ce, en adoptant la bonne technique de nettoyage de ses dents grâce à l’emploi de la brosse à dents et de la soie dentaire (easy-flosser de la marque Jordan)
- Programmez des visites régulières chaque 6 mois chez le dentiste, et ce, en prévoyant une première visite au cours des 6 mois qui suivent l’éruption de la première dent de votre bébé ;
- Évitez de donner le biberon à votre bébé durant la nuit puisque le lait contient du sucre et risque donc d’entrainer la formation de caries dentaires si les dents de l’enfant ne sont pas nettoyées directement après son biberon.
- Brosser ses dents dès l’éruption de la première dent avec un dentifrice fluore, matin (après le petit-déjeuner) et soir avant le coucher

Dr Rafif Tayara, dentiste pédiatrique
Dr Michael’s Children dental center 04-339 7700
Instagram: @doctortayara
Sur le même sujet









